Померлого у 90-річному віці царя Рамсеса ІІ вдвічі омолодили на реконструкції
Група вчених провела візуальний огляд мумії царя Рамсеса II та зробила комп'ютерну томографію його черепа. На основі отриманих даних дослідники збудували дві цифрові реконструкції його зовнішності. Одна з них відображає вигляд царя віком приблизно 45 років, а інша — 90 років. Результати дослідження опубліковані в Journal of Archaeological Science.

Цар Рамсес II - третій фараон XIX-ї династії і один з найвідоміших давньоєгипетських правителів, який перебував при владі близько 1279-1213 років до нашої ери, тобто в епоху Нового царства. За своє довге життя Рамсес II провів безліч військових кампаній, зокрема проти Хетського царства. Його правління також характеризується перенесенням столиці в Дельту (до міста Пер-Рамсес), масштабним будівництвом храмів, включаючи гіпостильний зал храму Амона в Карнаці, заупокійний храм Мережі I в Абідосі, храм Птаха в Мемфісі та низку інших споруд. Рамсес II прожив близько 90 років і залишив по собі понад сотню дітей.
Мумію Рамсеса II виявили ще в 1881 році в «Тайніку Дейр-ель-Бахрі» разом з тілами більш ніж 40 царів та членів їх сімей (частина Фіванського некрополя , розташованого навпроти сучасного Луксора), куди ще в давнину її перенесли жерці, рятуючи від давніх розкрадачів гробниць. Встановити особу цієї людини вченим вдалося завдяки тому, що мумію обгорнуто льняними пеленами з ім'ям царя.

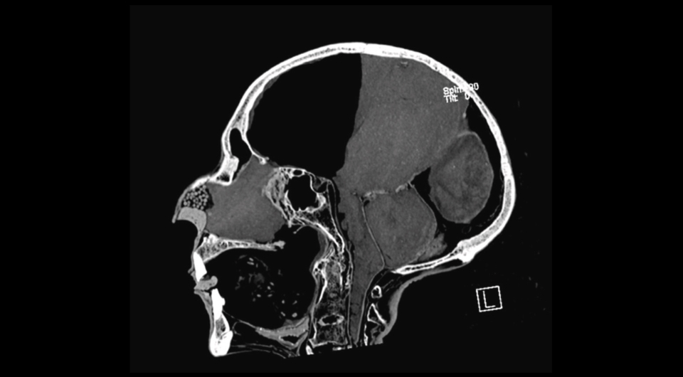
Комп'ютерна томограма черепа Рамсеса ІІ
Caroline Wilkinson et al. / Journal of Archaeological Science, 2023
Керолайн Вілкінсон (Caroline Wilkinson) з Ліверпульського університету імені Джона Мурса спільно з колегами з Великобританії та Єгипту повторно досліджувала останки Рамсеса II, щоб реконструювати зовнішність цієї людини для французького документального фільму, спираючись на сучасні методи діагностики та візуалізації. Для цього вчені зробили комп'ютерну томографію муміфікованого тіла царя, щоб потім збудували тривимірну модель його голови.
Проаналізувавши комп'ютерні томограми, палеорадіологи підтвердили, що вік фараона на момент смерті справді становив близько 90 років. На знімках також поганий стан зубів цієї людини, частина з яких була відсутня. Крім того, біля кореня другого моляра дослідники помітили великий абсцес. Вчені також виявили, що бальзамувальники намагалися зберегти форму носа царя, для чого засунули йому всередину невелику кістку, дрібне насіння та смолу.

Реконструкції зовнішності царя Рамсеса II у 90 та 45 років
Caroline Wilkinson et al. / Journal of Archaeological Science, 2023
Ряд спостережень дослідники зробили під час візуального огляду самої мумії. Вони відзначили, що у Рамсеса II була андрогенна алопеція (облисіння за чоловічим типом), а його сиве волосся, що збереглося, було пофарбоване рудою хною. У нього були проколоті вуха, але, можливо, він носив сережки лише у юному віці.
Зрештою вчені збудували дві цифрові реконструкції зовнішності царя Рамсеса II. Одна з них відображає його вигляд у віці приблизно 90 років, а інша приблизно 45 років. Для цього дослідники врахували цілу низку вікових змін. Так, на реконструкції 45-річного царя товщі губи, менше зморшок, коротше ніс і вуха, об'ємніше щоки та щелепи, а також більше волосся, причому темного, а не сивого.