Учёные рассказали о влиянии космоса на физиологию мозга
Исследование Орегонского университета здравоохранения и науки подтвердило, что длительное пребывание в состоянии невесомости влечёт за собой изменения в физиологии человека. В частности, меняются периваскулярные пространства вдоль вен и артерий головного мозга.
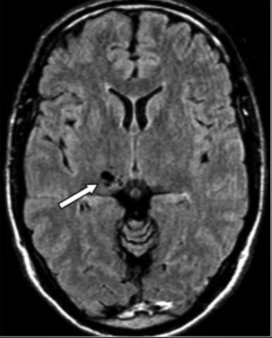
Периваскулярные пространства отвечают за циркуляцию спинномозговой жидкости, которая производит очистку мозга от побочных продуктов метаболизма во время глубокого сна. Увеличение этих пространств происходит при старении, а также связано с развитием деменции. Однако сравнивая МРТ-снимки испытуемых астронавтов, учёные не обнаружили изменений у ветеранов космического полёта. Старший автор исследования Хуан Пьянтино, доктор медицинских наук, доцент неврологии в Медицинской школе OHSU, описал эту странность гомеостазом — стремлением нашего организма к постоянству внутренней среды.

Периваскулярные пространства
«Мы все приспособились использовать гравитацию в свою пользу. Природа не поместила наши мозги в ноги — она усадила их на верхушку тела. Как только вы уберёте гравитацию из уравнения, что это, по-вашему, сделает с человеческой физиологией?» — отметил Пьянтино.
Во всех случаях учёные не обнаружили проблем с равновесием или зрительной памятью, которые могли бы свидетельствовать о неврологическом дефиците у астронавтов, несмотря на различия, измеренные в периваскулярных пространствах их мозга.
«Эти результаты способствуют пониманию не только фундаментальных изменений, происходящих во время космического полёта, но и нашим представлениям, как помочь людям на Земле, страдающим заболеваниями, влияющими на циркуляцию спинномозговой жидкости», — добавил Хуан Пьянтино.