Нейросеть поможет снизить дозу излучения при компьютерной томографии
Американские разработчики представили алгоритм, который позволяет улучшить качество изображений, полученных с помощью компьютерной томографии с низкой дозой излучения. Новый метод позволяет получить изображения сравнимо лучше уже существующих и может помочь снизить используемое при КТ рентгеновское излучение в десятки раз, пишут ученые в Nature Machine Intelligence.
Компьютерная томография — один из самых популярных и эффективных на сегодняшний день методов медицинской визуализации. Несмотря на свое широкое применение, повсеместное использование такого метода вызывает ряд беспокойств. Принцип работы компьютерной томографии построен на измерении отражения рентгеновских лучей тканями разной плотности, из-за чего возникает риск развития различных заболеваний под воздействием радиации.
Несмотря на то, что такой риск, по сути, небольшой, ученые разрабатывают методы, которые позволяют снизить дозу рентгеновского излучения при проведении компьютерной томографии. У подобных методов есть существенный недостаток: снижение дозы излучения приводит к потере разрешения и артефактам на изображении даже при их тщательной реконструкции. Это, в свою очередь, может привести к постановке неправильного диагноза или к повторному обследованию.
Хорошо известно, что с увеличением дозы излучения, которое используется при компьютерной томографии, растет и качество получаемого изображения. Ученые под руководством Гэ Вана (Ge Wang) из Ренсселерского политехнического института (Нью-Йорк) предположили, что такое увеличение качества можно воссоздать с помощью методов машинного обучения. Для этого они разработали алгоритм, основанный на работе сверточной нейросети: для обучения были взяты одинаковые КТ-изображения, полученные при стандартной дозе излучения, и при низкой — примерно в десять раз меньше. На каждом слое такой нейросети качество изображения немного улучшается; после это его оценивает профессиональный радиолог, и на основе его оценки регулируются дальнейшие параметры улучшения изображения. В результате, по словам разработчиков, удается снизить шум и уменьшить количество артефактов.
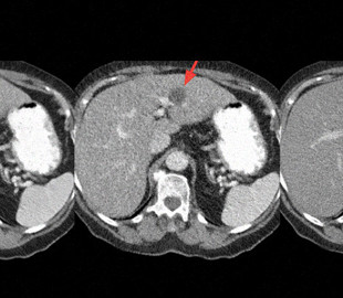
Для оценки эффективности работы алгоритма ученые использовали томограммы брюшной полости и легких 60 пациентов. Четыре вида томограмм (стандартную КТ, полученную при высокой дозе излучения и низкой, изображение, восстановленное с помощью коммерчески доступного метода статистической итеративной реконструкции) дали оценить троим радиологам. Как сообщают ученые, специалисты сошлись на том, что реконструкция изображения с помощью нового метода работает либо также хорошо, либо чуть лучше итеративной реконструкции в том, что касается избавления от шума и артефактов. В том, что касается определения опухолей и повреждений по томограммам, новый метод показал чуть большую эффективность.

Изображения, полученные с помощью нового алгоритма (DL), итеративной реконструкции (IR) и при стандартной дозе излучения. Красными стрелочками отмечены повреждения печени, зеленым — уплотнение стенки легкого, а синим — эмфизема.
Несмотря на эффективность предложенного метода, сравнимую с уже существующими, у алгоритма есть ряд недостатков. Во-первых, пока что он работает только применительно к двум областям тела человека — брюшной полости и легким, и для улучшения его работы нужно собрать и использовать для обучения больше данных. Во-вторых, с помощью нового метода не удалось обнаружить две из 30 опухолей в брюшной полости, которые были в датасете — точно так же, как и с помощью других методов. При этом новый метод работает быстрее и сравнимо эффективнее уже использующихся.
Исследователи улучшают и другие методы медицинской визуализации. Например, весной американские радиологи предложили использовать для визуализации активности мозга магнитно-резонансную эластографию, которая регистрирует изменения в плотности тканей. Такой метод позволяет добиться более высокого временного разрешения в сравнении с классической фМРТ.