Линза стоимостью три цента может превратить смартфон в микроскоп
Исследователи из Хьюстонского университета создали уникальную линзу стоимостью всего три цента, которая, будучи установлена на камеру смартфона, позволяет превратить её во вполне приличный микроскоп со 120-кратным увеличением. Сфера использования такого «микроскопа» чрезвычайно широка, например, он может пригодиться малым или расположенным в удалении от цивилизации медицинским учреждениям. Сама линза сделана из специального материала под названием полидиметилсилоксан (PDMS). Этот полимер в обычном состоянии имеет консистенцию густого мёда, а линза формируется путём нанесения капельки PDMS на предварительно прогретую поверхность, чтобы материал впоследствии схватился.

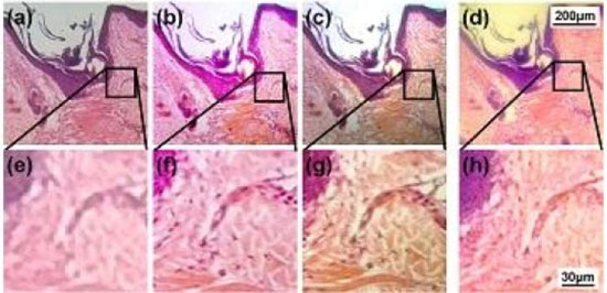
Снимки a — с получены на профессиональном микроскопе, снимок d — на смартфоне с PDMS-линзой
Геометрия — а значит, и оптические свойства сформированной линзы зависят от времени и температуры, при которой происходит нагревание PDMS. Готовый оптический элемент такого типа чрезвычайно лёгок и гибок, чем напоминает контактные линзы; правда, он толще и заметно меньше. Адгезионные свойства PDMS достаточно хороши, чтобы линзу из этого материала можно было наносить прямо на стекло камеры смартфона и впоследствии удалять её без каких-либо остаточных следов. В настоящий момент команде учёных, работающих над проектом, удалось добиться разрешения в 1 микрометр и оптического увеличения 120×.

Вскоре такой сценарий использования смартфона может стать реальностью
При сравнении PDMS-линзы, нанесённой на камеру смартфона, и профессионального микроскопа Olympus IX-70 снимки фолликулы человеческого волоса оказались вполне сопоставимыми по качеству и детализации. В производстве линза из PDMS будет стоить всего три цента, в то время как качественный микроскоп обойдётся желающему в $10 тысяч или более. В настоящее время новый тип линз производится вручную с помощью устройства, напоминающего струйный принтер. Налаживание массового производства потребует дополнительных вложений средств, и исследователи запустили краудфандинговую кампанию на Indiegogo, поставив целью собрать $12 тысяч. На данный момент собрано примерно $3000, и есть все основания считать, что проект завершится успехом.