Искусственный интеллект автоматически определяет типы травм мозга

Искусственный интеллект автоматически определяет типы травм мозга

ИИ автоматически определяет типы травм мозга. Исследователи отмечают, что инструмент может открыть новые формы их терапии.

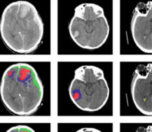
Новый инструмент ИИ автоматически определяет разные типы черепно-мозговых травм, анализируя результаты компьютерной томографии. Система использует алгоритм машинного обучения для выявления типов поражений мозга и областей тканей, поврежденных в результате травм или болезни.

Различия, которые она обнаруживает, могут помочь разработать персонализированные методы лечения травм мозга, которыми ежегодно страдают до 60 млн человек. Это позволит сэкономить время: обычно пациентов с черепно-мозговыми травмами отправляют на компьютерную томографию. Затем радиологи просматривают изображения, чтобы решить, какие препараты или операции лучше использовать для лечения.

Система основана на нейронной сети, разработанной исследователями Имперского колледжа Лондона. Ученые обучили инструмент на более чем 600 компьютерных снимках с различными типами поражений мозга. Они обнаружили, что ИИ успешно классифицировал отдельные части каждого изображения.

Исследователи отмечают, что этот инструмент может показать, как развиваются травмы головы, выявляя незаметные изменения, которые могут пропустить даже врачи. Разработчики считают, что ИИ даже позволит по-новому трактовать травмы головного мозга и поможет в развитии форм их лечения.

«Пока мы используем этот ИИ только для исследований, но при дальнейшей разработке его можно внедрить и в медицинские процедуры. Начать можно со стран с ограниченными ресурсами, где мало радиологов», — заявил соавтор исследования Мигель Монтейро.

Источник: hightech.fm